Choosing the right Dentist in Diamond Bar is about more than fixing teeth. It is about finding a dental team that prioritizes comfort, precision, education, and long-term oral health. Whether you are dealing with sudden tooth pain, exploring cosmetic improvements like dentist veneers, or seeking durable restorations such as Tooth Colored Fillings Diamond Bar CA, having access to complete dental care in one location makes a real difference.
At Diamond Bar Dental Studio, patients benefit from a patient-focused approach that blends modern technology with personalized treatment planning, making dental visits efficient, informative, and stress-free.
Why Choosing the Right Dentist in Diamond Bar Matters
Oral health impacts overall well-being, confidence, and daily comfort. A reliable dentist does not simply treat symptoms but addresses underlying concerns before they become costly or painful problems.
A full-service dental practice allows patients to:
-
Receive preventive and restorative care in one place
-
Manage dental emergencies quickly
-
Maintain long-term oral health with consistent monitoring
-
Access cosmetic treatments without referrals
This integrated approach improves outcomes while saving time and stress.
Emergency Dental Care When You Need It Most
Dental emergencies rarely happen at convenient times. Sudden pain, cracked teeth, infections, or swelling often lead patients to search for an emergency dentist near me.
Timely emergency care helps:
-
Relieve pain quickly
-
Prevent infections from spreading
-
Save damaged teeth
-
Reduce the risk of long-term complications
A Dentist in Diamond Bar equipped for emergency dentistry can assess the issue, stabilize the tooth, and recommend appropriate next steps, often in a single visit.
Example
A patient experiencing severe tooth pain late in the week sought urgent care instead of waiting. Early treatment prevented a minor infection from turning into a complex root canal or extraction.
Modern Restorations with Tooth Colored Fillings Diamond Bar CA
Gone are the days of visible metal fillings. Tooth Colored Fillings Diamond Bar CA provide a durable and natural-looking solution for cavities and minor tooth damage.
Benefits include:
-
Blends seamlessly with natural teeth
-
Preserves more healthy tooth structure
-
Mercury-free materials
-
Long-lasting strength
These restorations restore function while maintaining a clean, aesthetic smile.
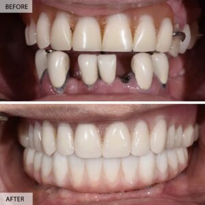
Enhancing Smiles with Dentist Veneers
Cosmetic dentistry has evolved, and dentist veneers are among the most effective solutions for patients seeking a dramatic yet natural transformation.
Veneers are ideal for:
-
Discolored or stained teeth
-
Chipped or uneven teeth
-
Small gaps
-
Worn enamel
Each veneer is custom-designed to match your facial structure and smile goals, creating a balanced and confident appearance.
Example
A patient unhappy with uneven front teeth chose veneers after years of avoiding photos. The result was a brighter, symmetrical smile that boosted confidence immediately.
Family-Focused Dentistry in Diamond Bar
A dependable Dentist in Diamond Bar offers care for patients of all ages. From children’s first dental visits to adult restorative and cosmetic treatments, continuity of care builds trust and better long-term outcomes.
Family-focused dental care emphasizes:
-
Gentle techniques
-
Preventive education
-
Age-appropriate treatments
-
Consistent oral health monitoring
Frequently Asked Questions
1. When should I see an emergency dentist near me?
If you experience severe pain, swelling, trauma, or a broken tooth, seek immediate care to prevent complications.
2. Are tooth colored fillings durable?
Yes, modern composite fillings are strong, long-lasting, and suitable for both front and back teeth.
3. How long do dentist veneers last?
With proper care, veneers can last 10 to 15 years or longer.
4. Is cosmetic dentistry only about appearance?
No. Many cosmetic treatments also improve bite alignment, tooth strength, and oral health.
5. How often should I visit a Dentist in Diamond Bar?
Most patients benefit from dental checkups every six months, or more frequently if recommended.
Conclusion
Finding the right Dentist in Diamond Bar means choosing comprehensive care that adapts to your needs, whether you require emergency treatment, durable restorations, or cosmetic enhancements. With services ranging from emergency dentist near me solutions to dentist veneers and Tooth Colored Fillings Diamond Bar CA, patients can feel confident knowing their oral health is managed with expertise and precision.
A patient-centered dental approach not only protects your smile today but supports lasting oral health for years to come.

